Οζώδης σκλήρυνση, σοβαρή πάθηση με σπασμούς, επιληπτικές κρίσεις, διαταραχές συμπεριφοράς, αυτισμό, νοητική καθυστέρηση
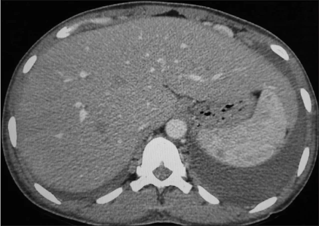
Την ηπατομεγαλία δηλαδή την αύξηση του μεγέθους του συκωτιού ποιες παθήσεις την προκαλούν;
του Κωνσταντίνου Λούβρου, M.D., medlabnews.gr iatrikanea
▪ ίκτερος (κίτρινο χρώμα του δέρματος και του άσπρου των ματιών),
▪ φαγούρα,
▪ ασκίτης,
▪ οιδήματα,
▪ αιμορραγικά και νευρολογικά προβλήματα
Ασκίτης παρατηρείται σε πυλαία υπέρταση, καρκινωματώδη διασπορά, απόφραξη ηπατικών φλεβών. Εξανθήματα συνοδεύουν διάφορα λοιμώδη εξανθηματικά νοσήματα (ιλαρά), ενώ οι αραχνοειδείς τηλαγγειεκτασίες και η ερυθρότητα του θέναρος και οπισθεναρος των παλαμών στις χρόνιες ηπατοπάθειες.
▪ Χρόνιες λοιμώξεις (ελονοσία, σχιστοσωμίαση, αμυλοείδωση).
▪ Ιογενείς μολύνσεις: Λοιμώδης μονοπυρήνωση που είναι μόλυνση από τον ιό EBV (Epstein-Barr), μόλυνση από τον ιό CMV ή άλλους ιούς
▪ Κίρρωση ήπατος
▪ Κατάχρηση αλκοόλ
▪ Λιπώδης διήθηση του ήπατος, στεάτωση, παχυσαρκία
▪ Διηθήσεις (Λευχαιμία, λέμφωμα, αμυλοείδωση, αιμοχρωμάτωση)
▪ Ηπατίτιδα Α, ηπατίτιδα Β, ηπατίτιδα C
▪ Καρδιακή ανεπάρκεια
▪ Καρκίνος του ήπατος (ηπατοκυτταρικό καρκίνωμα, ηπατοβλάστωμα, ηπατικό σάρκωμα)
▪ Λευχαιμία, λέμφωμα, νευροβλάστωμα και άλλοι καρκίνοι που κάνουν μεταστάσεις στο συκώτι (καρκίνος παχέος εντέρου)
▪ Αιμοχρωμάτωση συγγενής ή επίκτητος (υπερβολική εναπόθεση σιδήρου στο συκώτι και άλλα όργανα)
▪ Ασθένειες αποθήκευσης γλυκογόνου
▪ Σύνδρομο Rey
▪ Αιμολυτικό-ουραιμικό σύνδρομο
▪ Σαρκοείδωση
▪ Σκληρωτική χολαγγειίτιδα
▪ Νόσος Gaucher (Γκοσέ)
▪ Κοκκιώματα (Σύφιλη, Τb-c, σαρκοείδωση).
▪ Νοσήματα συνδετικού ιστού (σύνδρομο Felty).
▪ Ερυθηματώδης λύκος, οζώδης πολυαρτηρίτιδα, ρευματοειδής αρθρίτιδα.
▪ Φάρμακα
Οι συνήθεις εξετάσεις που βοηθούν στη διάγνωση της ηπατομεγαλίας περιλαμβάνουν:
• γενική αίματος,• την ταχύτητα καθίζησης,
• την ANA ,
• το test Monospot ,
• την ηπατική βιοχημεία (τρανσαμινάσες, γGT, χολερυθρίνη, παράγοντες πήξεως και άλλων πρωτεϊνών που συντίθενται στο συκώτι)
• μια ακτινογραφία θώρακος,
• ένα ΗΚΓ, και
• μια απλή ακτινογραφία κοιλιάς.
Η αντιμετώπιση της ηπατομεγαλίας εξαρτάται από την αιτία πρόκλησης της.
Διαβάστε επίσης
- Μη αλκοολική λιπώδης διήθηση του ήπατος, που οφείλεται και ποια η σημασία της άσκησης;
- Το συκώτι σας γνωρίζετε αν λειτουργεί φυσιολογικά; Έλεγχος ηπατικής λειτουργίας
- Πόνος στην κοιλιά, αναιμία, κόπωση, πυρετός, νυχτερινή εφίδρωση, φαγούρα είναι συμπτώματα της μυελοΐνωσης. Δεν είναι κληρονομική, μπορεί να συμβεί σε οποιονδήποτε
- Προσοχή. Τι άλλο μπορεί να σημαίνει ένας επίμονος πόνος στην μέση;
- Οι καλοήθεις όγκοι του ήπατος επηρεάζουν κυρίως τις γυναίκες. Πόσο επικίνδυνοι είναι και πώς αντιμετωπίζονται;
- Πώς η διατροφή επηρεάζει τον σχηματισμό των χολολίθων; Ποιες τροφές αυξάνουν τις πιθανότητες εμφάνισης χολολιθίασης και ποιές τις μειώνουν;
- Οι αυξημένες τιμές τρανσαμινασών, στις εξετάσεις αίματος, τι μπορεί να σημαίνει; Τι πρέπει να κάνουμε;
7ο Πανελλήνιο Συνέδριο Νοσημάτων Θώρακος: Η τεχνητή νοημοσύνη στο επίκεντρο
medlabnews.gr iatrikanea
Καινοτόμες εφαρμογές με νέους ορίζοντες και προοπτικές, αλλά
και νέες τεχνολογίες θα βρίσκονται στο επίκεντρο του 7ου Πανελλήνιου Συνεδρίου
Νοσημάτων Θώρακος που διοργανώνει η ΕΝΘΕ και θα φιλοξενήσει πάνω από 150
διακεκριμένους ‘Ελληνες και ξένους ομιλητές από τις 16-18 Μαΐου 2024, στο
ξενοδοχείο Hyatt Regency, στη Θεσσαλονίκη.
Τα τελευταία χρόνια, η αλματώδης ανάπτυξη της τεχνητής
νοημοσύνης και η εφαρμογή της σε όλες σχεδόν τις επιστήμες, ιδίως στην ιατρική,
δημιούργησε επανάσταση στη γνώση σε όλες τις ειδικότητες, κατ’ επέκταση και
στην πνευμονολογία.
Η ΕΝΘΕ, στο 7ο Πανελλήνιο Συνέδριο, πρωτοπορεί για ακόμα μια
φορά φέρνοντας «το μέλλον στο παρόν». Η τεχνητή νοημοσύνη θα πρωταγωνιστεί σε
όλες σχεδόν τις εργασίες του συνεδρίου. Έγκριτοι ιατροί, επιφανείς επιστήμονες
και ειδικοί σε θέματα τεχνητής νοημοσύνης από Ελλάδα και εξωτερικό θα μας
εισαγάγουν σε νέες έννοιες, νέες τεχνικές, προληπτικές, διαγνωστικές και
θεραπευτικές, και φιλοσοφικά διλήμματα που θα προκύψουν στο άμεσο μέλλον από
την καθημερινή εμπλοκή της τεχνητής νοημοσύνης στη διαχείριση του ασθενούς.
Ταυτόχρονα, στο 7ο Πανελλήνιο συνέδριο της ΕΝΘΕ θα
ενημερωθούμε για τις τρέχουσες εξελίξεις σε όλα τα νοσήματα του αναπνευστικού,
όπως τα αποφρακτικά, οι λοιμώξεις, ο καρκίνος του πνεύμονα και οι διάμεσες
πνευμονοπάθειες.
Το Συνέδριο επιφυλάσσει πολλές ευχάριστες εκπλήξεις, καλές,
όμορφες και απολαυστικές στιγμές!
Συνέντευξη/πρόσκληση Προέδρου ΕΝΘΕ, κ. Ηρακλή Τιτόπουλου Εδώ
Το Συνέδριο θα μεταδοθεί ζωντανά από το Livemedia
Video promo Συνεδρίου
Για περισσότερες πληροφορίες (πρόγραμμα, εγγραφή, ομιλητές
κτλ) πατήστε εδώ
Διαβάστε επίσης:
Βρήκε
ξανά τη «φωνή» της μετά από εγκεφαλικό, χάρη στην Τεχνητή Νοημοσύνη
Σημαντική
ομιλία του Κ. Δασκαλάκη για την τεχνητή νοημοσύνη. Ο έξυπνος αλλά όχι
αξιόπιστος φίλος (video η ομιλία)
H συγκινητική ανάρτηση της μητέρας της Ασπασίας που 11 χρόνια πριν πυροβολήθηκε από τον πατέρα της
medlabnews.gr
Η Σπυριδούλα Φατούρου δεν έχει φύγει από το πλευρό της κόρης της, της Ασπασίας. Έχουν περάσει 11 χρόνια από την ημέρα που ο πρώην σύζυγός της πυροβόλησε την κόρη τους για να την εκδικηθεί για τον χωρισμό τους. Σήμερα, ανήμερα της Γιορτής της Μητέρας, η κ. Φατούρου συγκινεί με την ανάρτησή της για την Ασπασία.
«Μπορεί να μην ακούσω πάλι από το στόμα σου τη λέξη Μαμά…
Μπορεί να μην σε δω,να αστραφτεις από χαρά μέσα στο νυφικό σου…..
Μπορεί να μην κρατήσω στην αγκαλιά μου,το παιδί σου…
Μπορεί να μην κλάψεις στον ώμο μου , γιατί τσακωθηκες με τον άντρα σου…
Μπορεί να μην με πάρεις τηλέφωνο να μου ζητήσεις να έρθω να σε βοηθήσω στις δουλειές του σπιτιού σου….
Μπορεί όλα αυτά,να τα έκλεισα σε ενα κουτί και να το εκρυψα βαθιά μέσα μου σκοτώνοντας εκείνο το κομμάτι του εαυτού μου,μην τυχόν ξυπνήσει ποτέ και ουρλιάξει…...», γράφει η Σπυριδούλα Φατούρου στο Facebook, δημοσιεύοντας μία φωτογραφία στην οποία κρατά το χέρι της κόρης της, Ασπασίας.
«Ένα είναι το σίγουρο, ότι με έκανες μάνα... Τη δική σου μάνα!!!!!! Τη μάνα του πιο ξεχωριστού κ δυνατού ανθρώπου που έχω γνωρίσει... Είναι η μεγαλύτερη τιμή που θα μπορούσα να έχω ή ίσως και να άξιζα... Το να είμαι η μητέρα σου! Σε ευχαριστώ μονάκριβη μου!», προσθέτει η κ. Φατούρου.
Διαβάστε επίσης
Φέτος στην Γιορτή της Μητέρας, κάντε στη μαμά σας ένα δώρο υγείας! Iδέες για εύκολα και ανέξοδα ή οικονομικά δώρα που θα βελτιώσουν την υγεία των μαμάδων μας!
Η αποκάλυψη του Πέτρου Συρίγου για την περιπέτεια της κόρης του στη θάλασσα. Παραλίγο να χρειαστεί ανάνηψη
medlabnews.gr
Ο Πέτρος Συρίγος και η σύζυγός του πριν από περίπου ένα χρόνο πραγματοποίησαν τον γάμο τους μαζί με τη βάφτιση της κόρης τους. Το κοριτσάκι σήμερα έχει κλείσει δύο χρόνια ζωής από την ημέρα που ήρθε στον κόσμο και άλλαξε τα πάντα για τον γνωστό σεφ.
Ο ίδιος μάλιστα παραχώρησε συνέντευξη στην εκπομπή Μαμά-δες την Κυριακή 12/5 και αφηγήθηκε μεταξύ άλλων πως είναι σήμερα η ζωή του μετά τη γέννηση της κόρης του. Ο Πέτρος Συρίγος και η σύζυγός του απολαμβάνουν την οικογένειά τους, ωστόσο δεν κρύβουν τις προκλήσεις που φέρνει ένα παιδί.
Ανατριχιαστικός ήταν ο τρόπος με τον οποίο περιέγραψε ο σεφ ένα ατύχημα, που συνέβη το καλοκαίρι στη θάλασσα με την κόρη του, καθώς παραλίγο το παιδί να χρειαστεί ανάνηψη.
Η αποκάλυψη του Πέτρου Συρίγου για την περιπέτεια της κόρης του στη θάλασσα «Η Βαλέρια είναι δύο χρονών και δύο μηνών. Δοκιμαζόμαστε σαν άνθρωποι. Θεωρώ ότι μέχρι τα δύο έτη δεν σου αφήνει χρόνο το παιδί. Γιατί και εσύ το μαθαίνεις το παιδί και αυτό μαθαίνει την καθημερινότητα την καινούργια. Από εδώ και πέρα ευελπιστώ να έχουμε λίγο χρόνο για εμάς.
Κοιμάται εκπληκτικά, κοιμάται τέλεια, ανοίγει το μάτι, τελειώνουν όλα. Εκεί ξεκινάει ένα τελείως διαφορετικό παιδί, έχει πολλή ενέργεια, θέλει να ζήσει τη ζωή της, την κάθε στιγμή. Και όπου χρειάζεται είμαστε από πίσω.
Δεν κάθεσαι ποτέ να φας με το παιδί και όποιος είναι γονιός το ξέρει, αλλά το προσπαθούμε και πιστεύουμε ότι κάποια στιγμή θα το καταφέρουμε να κάτσουμε κανονικά. Θέλουμε αυτό που ζούμε εμείς, να το βλέπει και να το ευχαριστιέται και το παιδί.
Μια φορά ήμασταν μέσα στη θάλασσα και παίζαμε αγκαλιά, κάπως κάτι έγινε, γυρνάει το κεφάλι της και μπαίνει μέσα. Σε δευτερόλεπτα τη σηκώνει, αλλά είχε πιει νερό. Παθαίνω την πλάκα μου και βλέπω ότι το παιδί βήχει τόσο πολύ και παθαίνω λέω δεν μπορώ να κάνω κάτι. Έχω παρακολουθήσει από σεμινάρια τα πάντα.
Παθαίνω πανικό και λέω Πέτρο εσύ πρέπει να σώσεις το παιδί σου. Και εκείνη την ώρα βγαίνω προς τα έξω, το παιδί έβηχε τόσο πολύ και μου είχε μείνει ένα τελευταίο στάδιο ώστε να αρχίζω να της κάνω ανάνηψη. Είχε περάσει χρόνος. Το παιδί συνέρχεται, η μαμά της έκλαιγε. Μου έκανε εντύπωση, ότι δεν ήρθε ούτε ένας να βοηθήσει. Γεμάτη η παραλία, εγώ είχα κάνει χαμό. Έβλεπαν ότι είμαι με ένα παιδάκι, που πνιγόταν, δεν ήρθε ούτε ένας, νευρίασα τόσο πολύ μετά», είπε ο Πέτρος Συρίγος.
Διαβάστε επίσης:
Πνιγμός στη θάλασσα. Πρώτες βοήθειες (video)
Σε πόση ώρα μετά το φαγητό μπορείτε να Κολυμπήσετε;
Οδηγίες για τους κολυμβητές. Οι πνιγμοί, η δεύτερη αιτία θανάτων, λόγω ατυχημάτων, στα μικρά παιδιά
Πέθανε ο ομότιμος καθηγητής της ιατρικής αγγειοχειρουργός Παναγιώτης Μπάλας
medlabnews.gr iatrikanea
γράφει ο Χρήστος Ν. Κλωνάρης, Καθηγητής Αγγειοχειρουργικής, Ιατρική Σχολή ΕΚΠΑ / NKUA Medical School
Με βαθιά θλίψη σας ενημερώνω για την απώλεια του ομότιμου Καθηγητή Ιατρικής ΕΚΠΑ Παναγιώτη Η. Μπάλα και εκφράζω την οδύνη μου για το δυσαναπλήρωτο κενό που αφήνει στην Αγγειοχειρουργική κοινότητα αλλά και την ευρύτερη ιατρική μας οικογένεια. Απόφοιτος και αριστούχος διδάκτωρ του Πανεπιστημίου Αθηνών και εντυπωσιασμένος από την ανάπτυξη της Αγγειοχειρουργικής στις ΗΠΑ, μετεκπαιδεύτηκε σε μεγάλα καρδιοχειρουργικά κέντρα (1959-1963) στο Tufts University Medical School, Boston, και στο Baylor College of Medicine, Houston Texas. Μετά την επιστροφή του εκ των ΗΠΑ, επανήλθε στην Α’ Χειρουργική Κλινική ΕΚΠΑ στο «Λαϊκό» Νοσοκομείο Αθηνών όπου του ανατέθηκαν αρχικά καθήκοντα επιμελητού του εργαστηρίου Πειραματικής Χειρουργικής.
Εντυπωσιασμένος από τις επιτυχείς συγκολλήσεις άκρων από Κινέζους χειρουργούς το 1962, ενημερώθηκε για τις εφαρμοζόμενες μεθόδους και τεχνικές και επέτυχε το 1967 με τους συνεργάτες του, στην Α’ Χειρουργική Κλινική ΕΚΠΑ, την πρώτη στην Ευρώπη επιτυχή συγκόλληση άνω άκρου σε νέα κοπέλα, το άκρο της οποίας λειτουργεί μέχρι και σήμερα ικανοποιητικά. Για τη επέμβαση αυτή τιμήθηκε στη συνεδρία «Spectacular Achieves in Surgery» του American College of Surgery στο Atlantic City των ΗΠΑ. Το 1982 εξελέγη Τακτικός Καθηγητής της Χειρουργικής και το ίδιο έτος του ανατέθηκε η διεύθυνση της Α’ Χειρουργικής Κλινικής ΕΚΠΑ, στο «Λαϊκό» Νοσοκομείο Αθηνών, την οποία είχε υπηρετήσει προηγουμένως επί 25 έτη και τη διεύθυνε λίαν επιτυχώς τα επόμενα 11, έτη στα οποία η Α ́ Χειρουργική Κλινική αποτέλεσε πρωτοποριακό Αγγειοχειρουργικό κλινικό, εκπαιδευτικό και ακαδημαϊκό κέντρο με διεθνή αναγνώριση.
Ο Καθηγητής Παναγιώτης Μπάλας ανέπτυξε πολύπλευρες επιστημονικές και οργανωτικές δραστηριότητες. Το 1982 ίδρυσε την Ελληνική Αγγειοχειρουργική Εταιρεία και οργάνωσε διετή μετεκπαιδευτικά μαθήματα Αγγειολογίας-Αγγειοχειρουργικής, επί σειρά ετών τα οποία παρακολούθησαν και έλαβαν σχετικό δίπλωμα περισσότεροι των 2000 νέων ιατρών από όλη τη χώρα. Επιπλέον ίδρυσε και οργάνωσε σειρά Ελληνικών και διεθνών Επιστημονικών εταιρειών , την Ελληνική Αγγειολογική Εταιρεία, την Ελληνική Φλεβολογική Εταιρεία, την Mediterranean League of Angiology and Vascular Surgery, την International Society of Angiology, την Ινδική Αγγειολογική Εταιρεία, την Michael E. DeBakey International Cardiovascular Society, κλπ.
Οργάνωσε δεκάδες Ελληνικών, Διεθνών και Παγκοσμίων συνεδρίων. Το 1993 κατά τη διάρκεια του ετησίου συνεδρίου της European Society of Vascular Surgery, στο ξενοδοχείο Hilton Αθηνών πραγματοποιήθηκε για πρώτη φορά δορυφορική μετάδοση ενδαγγειακών επεμβάσεων από τον Καρδιαγγειακό Χειρουργό Ε. Diethrich στην Ευρώπη από τις ΗΠΑ.
Ως προσκεκλημένος ομιλητής επισκέφτηκε 30 και πλέον χώρες και των 5 Ηπείρων. Μεταξύ των πολλών διακρίσεων και διπλωμάτων τα οποία του απονεμήθηκαν από διάφορες επιστημονικές Εταιρείες, Πανεπιστήμια και Διεθνείς οργανισμούς αναφέρεται ιδιαιτέρως η ανακήρυξη του ως ̈Honorary Fellow of the American College of Surgery”.
Ο καθηγητής Π. Μπάλας υπήρξε πρωτοπόρος Αγγειοχειρουργός στην Ελλάδα, προσωπικότητα παγκόσμιας εμβέλειας, με σημαντικό ρόλο στην διεθνή ανάπτυξη της ειδικότητας. Διαχρονικό του όραμα και στόχος αποτέλεσε, μέσω των Εταιρειών που ίδρυσε και των Συνεδρίων που οργάνωσε, να φέρει κοντά και να ενώσει τους Αγγειολόγους και Αγγειοχειρουργούς από κάθε μέρος του κόσμου, διαφόρων επιπέδων και διαφορετικών πολιτισμών, στην Ελλάδα και να συμβάλει στο να δημιουργηθεί το Αγγειοχειρουργικό αποτύπωμα της χώρας μας σε διεθνές επίπεδο. Υπήρξε άοκνος πρέσβης της χώρας επιδιώκοντας διεθνείς επιστημονικές συνεργασίες στην Αγγειολογία - Αγγειοχειρουργική, μεταξύ Ανατολής και Δύσης, υπερπηδώντας τις δυσκολίες εκείνης της εποχής και τις εχθρότητες του ψυχρού πολέμου. Στα διεθνή συνέδρια που οργάνωσε στη χώρα μας συμμετείχαν σε στρογγυλές επιστημονικές τράπεζες Ρώσοι, Γάλλοι, Κινέζοι, Αμερικανοί, Ινδοί κλπ. Αγγειοχειρουργοί. Από το πλούσιο φωτογραφικό υλικό του Καθηγητή Π. Μπάλα, επέλεξα αυτή τη φωτογραφία (Κίνα, 1977), που θεωρώ ότι αντιπροσωπεύει λίγο περισσότερο ίσως την προσωπικότητα, τα ιδανικά και την ψυχή του; “WE HAVE FRIENDS ALL OVER THE WORLD”.
Υπήρξε εξαίρετος κλινικός ιατρός και χειρουργός με υποδειγματικό ενδιαφέρον για τους ασθενείς. Εργάστηκε συστηματικά και με μεγάλο ενθουσιασμό για την εκπαίδευση στην Αγγειολογία - Αγγειοχειρουργική των Ελλήνων κυρίως αλλά και συναδέλφων πολλών άλλων χωρών, τίμησε και έδωσε αξία στον τίτλο του καθηγητή και όχι το αντίστροφο. Υπήρξε οραματιστής και άγρυπνος ανιχνευτής κάθε επιστημονικής προόδου, νέων μεθόδων και τεχνικών. Τριάντα και πλέον έτη μετά την αφυπηρέτηση του από το ΕΚΠΑ, ο Καθηγητής Π. Μπάλας συνέχισε με αμείωτο ενδιαφέρον, σκληρή εργασία, τολμηρούς οραματισμούς, αγάπη για τον άρρωστο, ενδιαφέρον για τους συνεργάτες του, το επιστημονικό δημιουργικό του έργο. Στη περίοδο αυτή ίδρυσε από κοινού με τον Dr. Edward E Diethrich την “International Society of Endovascular Surgery”. Δικαίως σήμερα θεωρείται ο πατέρας της Ελληνικής Αγγειολογίας και Αγγειοχειρουργικής. Αποτέλεσε παράδειγμα προς τους νεότερους συναδέλφους να εργαστούν δημιουργικά προς όφελος της Αγγειοχειρουργικής και των αγγειοπαθών στη χώρα μας. Σε εμάς τους τελευταίους μαθητές του, αφήνει παρακαταθήκη την απαράμιλλη εργατικότητα του, τη μοναδική του στοχοπροσήλωση, τη χειρουργική του μεθοδικότητα, την καινοτόμο σκέψη, τον εφηβικό του ενθουσιασμό, την καθημερινή του αισιοδοξία, το μεγάλο οραματισμό του. Σε μένα προσωπικά επιπλέον και όχι αποκλειστικά, τη ζεστή του καθοδήγηση και την πατρική του αγάπη. Αιωνία του η μνήμη.
Χρήστος Ν. Κλωνάρης
Καθηγητής Αγγειοχειρουργικής, Ιατρική Σχολή ΕΚΠΑ / NKUA Medical School



















